Welche unterschiedlichen Zahnkronen gibt es?

Ihr Zahnarzt berät Sie gern über den für Sie optimalen Zahnersatz.

Dentallaborantin
Denecke Zahntechnik GmbH
Christian Denecke
Fritzenwiese 4 A
29221 Celle
Telefon: 05141 92 83 - 0
SPRECHSTUNDEN
Montag
Dienstag
Mittwoch
Donnerstag
Freitag
7.30 – 18.00 Uhr
7.30 – 18.00 Uhr
7.30 – 16.00 Uhr
7.30 – 18.00 Uhr
7.30 – 16.00 Uhr
Terminvereinbarungen nehmen wir gerne
telefonisch entgegen.

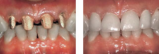
Kronen: Keramik, Zirkon, Gold, Galvano oder Metall?


Keramikkrone

Keramik
Vollkeramikkronen sind die ansprechendste und hochwertigste Lösung für Ihre prothetische Versorgung. Sie sind vom natürlichen Zahn nicht zu unterscheiden. Der durch die aufwändige Herstellung erforderliche höhere Preis wird mit einem Höchstmaß an Ästhetik, Funktionalität und Beständigkeit belohnt.

Vor- und Nachteile:
+ Bioverträglichkeit sehr gut
+ Vom natürlichen Zahn praktisch nicht zu unterscheiden
+ Lange Lebensdauer


Zirkoniumoxid Kronen

Zirkon
Kronen aus dem Hightech Material Zirkoniumoxid zeichnen sich durch eine extreme Biokompatibilität aus. Zudem ist die Passgenauigkeit dank moderner 3D Computertechnologie als optimal zu bezeichnen. Die Bruchfestigkeit dieses Materials liegt um etwa drei mal höher, als beispielsweise die von Titan.

Vor- und Nachteile:
+ Extrem bruchfest
+ 100 % biokompatibel
+ Passgenauigkeit optimal
+ Sehr langlebig
+ Optimale Versorgung


Gold Zahnkrone

Gold
Gold eignet sich durch seine Materialeigenschaften bestens für die Versorgung eines Zahndefektes im „unsichtbaren“ Bereich Ihres Gebisses. Es sind Kronen aus korrosionsbeständigen „Biolegierungen”. Ob „hochgoldhaltig” oder „goldreduziert”, in beiden Fällen wird eine sehr gute Verträglichkeit erreicht, wobei erwähnt werden sollte, dass goldreduzierte - also minderwertigere Legierungen - eine höhere Korrosionsrate aufweisen und so für den anspruchsvollen Patienten die schlechtere Wahl darstellen.

Vor- und Nachteile:
+ Sehr gut bioverträglich
+ Haltbarkeit sehr gut
+ Zahnsubstanz wird weitgehend erhalten
+ Ästhetik befriedigend
+ Sehr gute Verarbeitungsmöglichkeit im Labor


Galvanokrone

Galvano
Bei der Galvanokrone wird die keramische Masse in einem aufwendigen Schicht- und Brennverfahren auf ein hochgoldhaltiges Goldkäppchen aufgetragen. Die Zahnfarbe wird individuell ausgesucht. Keramische Verblendungen können vom Zahntechniker dem natürlichen Vorbild täuschend ähnlich nachgebildet werden. Galvanokronen sind vor allen Dingen für Allergiker eine mögliche Alternative, da die verwendeten Materialien in hohem Grade biokompatibel sind. Der durch die aufwändige Herstellung erforderliche höhere Preis wird mit einem Höchstmaß an Ästhetik, Funktionalität und Beständigkeit belohnt.

Vor- und Nachteile:
+ Bioverträglichkeit ist sehr gut
+ Haltbarkeit akzeptabel
+ Ideal für Allergiker
- Eventuell kleiner Goldrand sichtbar


Vollgußkrone aus Metall

Metall
Vollgußkronen zeichnen sich durch eine große Stabilität und Verschleißfestigkeit aus; sie haben dadurch eine lange Lebensdauer. Die Farbe der Vollgußkrone ist entweder gold- oder silberfarben, dadurch wird sie normalerweise nur im nicht sichtbaren Bereich eingesetzt. Ästhetische Probleme können auftreten, wenn sie im durch die Krankenkassen und dem Gesetzgeber vorgeschriebenen Bereich eingesetzt wird. Diese Probleme können Sie durch Zuzahlung für eine Verblendung vermeiden.

Vor- und Nachteile:
+ Lange Lebensdauer
+ Kostengünstig
+ Zahnsubstanz wird weitgehend erhalten
+ Ästhetik befriedigend
- Je nach Art der Metalllegierung allergieauslösend